Cabinet dentaire du Dr Marie-Pierre AUBRY
Chirurgien-Dentiste à DIJON
Accueil
Le cabinet
Plan d'accès
Vidéos
Fiches Conseils
Cabinet dentaire du Dr Marie-Pierre AUBRY
30 rue de Metz
21000
DIJON
+33380654106
Chirurgien-Dentiste à DIJON
Accueil
Le cabinet
Plan d'accès
Vidéos
Fiches Conseils
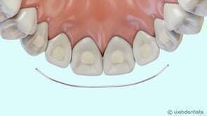
Fil de contention
Vidéos 3D
Partager
Twitter
Partager
Partager
Envoyer
Copier
Cabinet dentaire du Dr Marie-Pierre AUBRY
30 rue de Metz
21000
DIJON
+33380654106
Politique de confidentialité et charte cookie
Mentions légales
Conditions Générales Utilisation
Charte déontologique
Ordre national
Annuaires chirurgiens dentistes
Hygiène & Asepsie
Honoraire & remboursement
Diaporama
Rechercher dans le blog Blog
Création par
Connexion
Vidéo en cours de lecture